
뇌졸중은 빠른 조치만큼이나 '그 후'가 중요합니다. 후유증과 재활 골든타임, 알고 계신가요?
안녕하세요. 건강을 소중히 여기는 모든 분들께 꼭 드리고 싶은 이야기, 바로 뇌졸중 후유증과 재활치료의 골든타임에 대한 내용을 다뤄보려 해요.
우리는 흔히 건강할 때는 질병에 대한 경각심이 덜하지만, 실제로 뇌졸증은 예고 없이 찾아오는 무서운 질환이에요. 더 무서운 건 발병 그 자체보다, 그 이후의 후유증과 회복 과정이 훨씬 더 인생의 질에 영향을 준다는 사실입니다.
그리고 이 모든 걸 좌우하는 핵심은 바로 **‘골든타임’**이라는 시간의 문턱을 어떻게 넘느냐에 달려 있죠
목차
뇌졸중이란? 생각보다 흔한 질환이에요
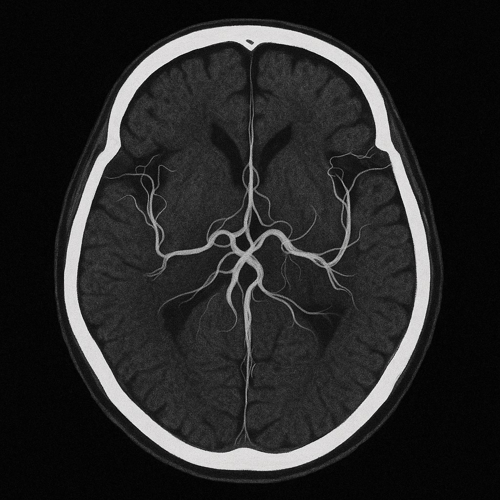
뇌졸중은 뇌에 혈류 공급이 차단되거나 혈관이 터지면서 뇌조직이 손상되는 병이에요. 크게 **허혈성(뇌경색)**과 **출혈성(뇌출혈)**으로 나뉘며, 발병 원인은 고혈압, 당뇨, 고지혈증, 심장질환 등이 있어요.
중요한 건, 뇌는 한 번 손상되면 되돌릴 수 없다는 점이에요. 그래서 증상이 생겼을 때 얼마나 빠르게 대응하느냐가 생명은 물론 후유증을 최소화하는 데 절대적으로 중요해요.
대표적인 초기 증상은 말이 어눌해지거나, 한쪽 팔다리가 힘이 없거나, 얼굴이 한쪽으로 처지는 등의 증상인데요. 이런 증상이 나타났다면 단 1초도 지체하지 말고 119 또는 응급실로 가야 해요.

뇌졸중 후유증, 일상에 큰 영향을 줍니다
뇌졸중은 생존율보다도 ‘후유증’이 더 무서운 병으로 꼽히는데요. 그 이유는 살아남더라도 이전과 같은 삶을 살기 어려운 경우가 많기 때문이에요.
후유증은 뇌가 손상된 부위에 따라 다양하게 나타나요. 예를 들어,
- 운동 기능 장애: 반신마비, 보행 불능
- 언어 장애: 말이 어눌하거나, 단어를 떠올릴 수 없는 실어증
- 인지 기능 저하: 기억력, 집중력 저하
- 삼킴 장애: 음식을 삼키기 어려워지는 연하장애
이런 증상은 단순한 불편을 넘어서, 환자의 정신 건강과 사회적 관계에도 큰 영향을 줘요. 심한 경우 우울증이나 무기력감에 빠져, 재활의지를 잃어버리는 경우도 흔해요.
그래서 후유증을 얼마나 빠르게 관리하고, 어떤 방식으로 치료를 받느냐가 삶의 질을 완전히 바꿀 수 있는 결정적인 요소가 됩니다.


재활치료 골든타임이란?
뇌졸중 치료에서 ‘골든타임’이라는 말은 단순히 급성기 치료에만 해당되는 게 아닙니다. 재활 치료도 마찬가지예요. 일반적으로 뇌졸중 발생 후 3~6개월이 회복을 위한 골든타임으로 간주됩니다. 이 시기엔 뇌가 가장 활발히 재구성되며, 손상된 기능을 다른 영역이 대체할 수 있는 가능성이 높습니다.
| 기간 | 뇌 회복 특성 | 재활 효과 |
|---|---|---|
| 0~3개월 | 신경 가소성 최고조 | 재활 효과 매우 높음 |
| 3~6개월 | 점진적 회복 | 중간 수준 |
| 6개월~ | 회복 속도 둔화 | 제한적 |
골든타임, 왜 이토록 강조할까요?
‘골든타임’이라는 단어는 단순한 유행어가 아니에요. 실제로 의학적으로 증명된 치료효과의 ‘창(Window)’이기 때문이에요.
- 응급치료 골든타임: 뇌졸증 발병 후 3시간 이내, 특히 4.5시간 이내에 병원에 도착해 혈전용해제(알티플라제, tPA 등)를 투여하면 혈류 회복 가능성이 높아져요.
- 재활치료 골든타임: 발병 후 첫 3개월. 이 시기의 재활강도와 반복치료 빈도는 향후 회복률에 직접적인 영향을 줘요.
단 1~2주 차이로도 말이 완전히 돌아오느냐 마느냐, 걷느냐 마느냐가 결정될 수 있기 때문에, 초기 대응이 정말 중요해요.
그래서 가족과 환자 모두가 이 시기를 절대 놓치지 않도록 병원 입원 시부터 재활팀이 바로 투입될 수 있는 병원을 찾는 것이 좋습니다.

뇌졸중 재활, 이렇게 준비하세요!
재활은 장기전이예요. 조급하지 않되, 빠르게 시작하고 꾸준하게 유지하는 것이 핵심이에요.
첫째, 전문병원 선택이 중요합니다. 신경과, 재활의학과, 언어치료사, 물리치료사 등 팀 기반의 접근이 가능한 병원을 고르세요.
둘째, 가족의 지지가 치료의 절반입니다. 환자의 의욕과 자존감을 지켜주고, 반복되는 치료에 지치지 않도록 동기를 북돋아 주세요.
셋째, 일상 속 관리도 병행해야 해요. 식단 조절, 약물 복용, 금연과 금주, 스트레스 관리까지 함께 이루어져야 재발도 막을 수 있어요.
환자와 가족이 실천할 수 있는 재활 팁
전문가의 도움도 중요하지만, 일상 속에서 가족이 함께할 수 있는 작은 실천이 환자의 회복 속도에 큰 영향을 줍니다.
- 매일 아침 같은 시간에 기상하고 식사하기
- 간단한 스트레칭이나 산책은 필수
- 가족과 대화 자주 하기 (언어 회복에 도움)
- 하루 한 번 웃을 일 만들기! (정말 중요해요)
📌 뇌졸중이라는 예기치 못한 시련 앞에서 우리는 흔들릴 수밖에 없습니다.
뇌졸중은 단순히 ‘치료받고 끝나는 병’이 아닙니다. 그 이후의 시간과 싸움이 진짜 시작이에요. 그 싸움에서 가장 중요한 무기는 바로 ‘골든타임 안의 재활치료’이고요.
하루라도 빨리 시작하고, 적절한 치료 계획과 환경을 만드는 것이 환자의 평생을 바꿀 수 있는 길입니다.
이런 증상이 있다면 빨리 응급실 가세요! (뇌졸중)
**뇌졸중(Stroke)**은 뇌혈관이 막히거나(뇌경색), 터지면서(뇌출혈) 뇌에 혈액 공급이 제대로 되지 않아 뇌세포가 손상되는 질환입니다.가장 무서운 점은 전조 증상 없이 갑작스럽게 발생할 수 있
money1009.com
봄철 위험한 뇌졸중 조심! (증상, 원인, 관리법)
봄철은 일교차가 크고 기온 변화가 심해 혈관 건강에 악영향을 미칠 수 있습니다. 특히 혈관이 갑작스럽게 수축하거나 확장되면서 뇌졸중 위험이 높아지는데요. 뇌졸중은 단순한 두통이나 어지
money1009.com
뇌전증은 왜 생기는 걸까? 증상부터 원인, 치료법까지 한눈에 정리
뇌전증은 왜 생기는 걸까? 증상부터 원인, 치료법까지 한눈에 정리
뇌전증은 일상생활에 큰 영향을 줄 수 있는 신경계 질환으로, 뇌 기능의 일시적 이상으로 인해 반복적인 발작 증상이 나타나는 것이 특징입니다. 오늘은 뇌전증의 증상, 원인, 그리고 치료법에
money1009.com