
“결핵은 옛날 병 아니야?”라고 생각하는 분들이 많지만, 사실 지금도 매년 수천 명이 결핵 진단을 받고 있습니다.
특히 초기 증상이 감기와 비슷해 조기 발견이 늦어지는 경우가 많아요.
결핵이란?
결핵(Tuberculosis, TB) 은 결핵균(Mycobacterium tuberculosis)이라는 세균에 의해 발생하는 만성 감염병이에요.
주로 폐(폐결핵) 에 생기지만, 신장·척추·림프절 등 다른 장기에도 전이될 수 있는 전신 질환입니다.
결핵은 주로 기침, 재채기를 통해 전염되는 공기 감염 질환으로, 면역력이 약한 사람에게 쉽게 감염될 수 있어요.
결핵은 치료가 가능한 질환이지만,
치료 시기를 놓치면 폐 손상이 심해지고, 전염 위험이 커지므로 조기 진단이 매우 중요합니다.

결핵의 주요 증상
결핵의 초기 증상은 감기나 기관지염과 비슷해 놓치기 쉽습니다.
하지만 2주 이상 증상이 지속된다면 단순 감기가 아닐 가능성이 높아요.
대표적인 폐결핵 증상 👇
- 기침이 2주 이상 지속됨
마른기침부터 시작해, 점차 가래가 동반됩니다. - 피 섞인 가래(혈담)
폐의 염증이 심해지면 기침할 때 피가 섞여 나옵니다. - 발열 및 식은땀
오후나 밤에 미열이 나고, 잠잘 때 식은땀을 흘리는 경우가 많아요. - 체중 감소 및 식욕 저하
먹는 양이 줄고 체중이 빠르게 줄어듭니다. - 피로감, 무기력증
아무리 쉬어도 피로가 풀리지 않고 쉽게 지칩니다. - 가슴 통증 및 호흡곤란
염증이 심할 경우 흉통이나 숨쉬기 불편함을 호소합니다.
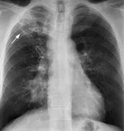
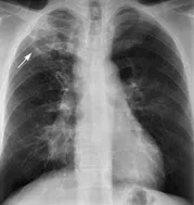
이런 증상이 2주 이상 지속되면 반드시 병원에서 흉부 X선 및 객담 검사를 받아야 합니다.
초기에 발견하면 완치율이 매우 높아요.
결핵의 원인과 감염 경로
결핵은 결핵균(Mycobacterium tuberculosis)에 의해 발생합니다.
이 균은 공기를 통해 전염되는 비말핵 감염(airborne infection) 방식으로 퍼집니다.
즉, 결핵 환자가 기침, 재채기를 하거나 말을 할 때 공기 중으로 퍼진 균을
다른 사람이 들이마시면 감염될 수 있어요.
전염 경로👇
1️⃣ 폐결핵 환자의 기침, 재채기, 대화 중 비말 감염
2️⃣ 밀폐된 공간에서 장시간 접촉할 경우 감염 확률 증가
3️⃣ 면역력이 약한 경우 감염 확률 상승
단, 식사나 포옹, 악수, 식기 공유로는 감염되지 않습니다.
공기를 통해서만 전파되므로 환기와 마스크 착용이 매우 중요합니다.
결핵의 진단 방법
결핵은 다음과 같은 검사를 통해 진단합니다 👇
- 흉부 X선 검사 : 폐에 염증이나 병변이 있는지 확인
- 객담(가래) 검사 : 결핵균 존재 여부를 현미경 또는 유전자 검사로 확인
- 결핵 피부반응검사(TST) 또는 혈액검사(IGRA) : 잠복결핵 여부 확인
잠복결핵은 결핵균이 몸속에 있지만 아직 증상이 나타나지 않은 상태로,
면역력이 약해지면 활동성 결핵으로 발전할 수 있습니다.
결핵의 치료 방법
결핵은 완치 가능한 병이에요.
다만 꾸준히, 정확한 방법으로 6개월 이상 항결핵제 복용이 필수입니다.
① 표준 약물치료
대표적인 항결핵제 👇
- 이소니아지드 (Isoniazid, INH)
- 리팜피신 (Rifampin, RFP)
- 피라진아마이드 (Pyrazinamide, PZA)
- 에탐부톨 (Ethambutol, EMB)
초기 2개월 동안은 4가지 약을 함께 복용하고, 이후 4개월 동안은 2가지 약으로 유지 치료를 합니다.
중요한 점은 약을 절대 임의로 중단하지 않아야 한다는 것!
도중에 복용을 중단하면 결핵균이 약에 내성을 가지게 되어 치료가 어렵고 재발 위험이 커집니다.
② 다제내성결핵(MDR-TB) 치료
기존 약에 반응하지 않는 결핵균의 경우
2차 약제(주사제 포함)로 1~2년 이상 치료해야 합니다.
치료가 길고 부작용이 심해지므로, 초기에 확실히 치료하는 게 중요합니다.
결핵의 합병증
결핵은 단순 폐질환에 그치지 않고, 치료가 늦을 경우 다양한 합병증을 일으킬 수 있습니다.
- 폐 손상 및 폐기능 저하
염증으로 인해 폐조직이 파괴되고 흉터가 남습니다. - 기관지 확장증, 흉막염, 폐섬유화
호흡이 어려워지고 만성기침이 지속됩니다. - 결핵성 뇌수막염, 결핵성 림프절염, 척추결핵
균이 다른 장기로 퍼질 경우 매우 위험한 합병증이 발생할 수 있어요.
결핵은 조기에 치료하면 완치율이 95% 이상이지만, 방치하면 생명을 위협할 수 있는 질환이에요.
결핵 예방법
1️⃣ BCG 예방접종 (결핵 백신)
- 생후 4주 이내에 접종하며, 중증 결핵 예방 효과가 있습니다.
- 성인에게는 예방 효과가 제한적이지만, 어린이에게는 필수예요.
2️⃣ 정기적인 건강검진
- 직장, 학교 등에서 매년 흉부 X선 검사 실시
- 조기 발견이 결핵 예방의 핵심입니다.
3️⃣ 잠복결핵 치료
- 결핵균에 노출된 사람은 증상이 없어도 검사 후 필요시 치료를 받아야 합니다.
4️⃣ 개인 위생과 환기
- 밀폐된 공간에서는 환기를 자주 하고,
기침할 땐 반드시 마스크를 착용하세요.
5️⃣ 균형 잡힌 식사와 충분한 수면
- 면역력을 유지하는 것이 감염 예방에 가장 중요합니다.
마무리 요약
요약하자면,
👉 원인: 결핵균(Mycobacterium tuberculosis) 감염
👉 증상: 2주 이상 기침, 발열, 체중감소, 피 섞인 가래, 피로
👉 치료: 6개월 이상 항결핵제 복용, 철저한 관리 필요
👉 예방: BCG 접종, 환기, 마스크, 건강한 생활습관
결핵은 감기처럼 시작되지만, 치료하지 않으면 생명까지 위협할 수 있는 병이에요.
요즘도 매년 환자가 꾸준히 발생하고 있으니,
“2주 이상 기침이 계속된다면” 꼭 병원에 가서 검사 받아보세요!


